Cosmetic Dentistry
Dental implants can be used within the broader discipline of cosmetic dentistry to complete full mouth reconstructions and smile makeovers. Implants are considered to be the best technique to replace gaps in the teeth and are our recommended solution for this. However, a patient my have a wider range of issues with their smile, not just missing teeth and this is where our complete range of cosmetic dentistry comes into play.
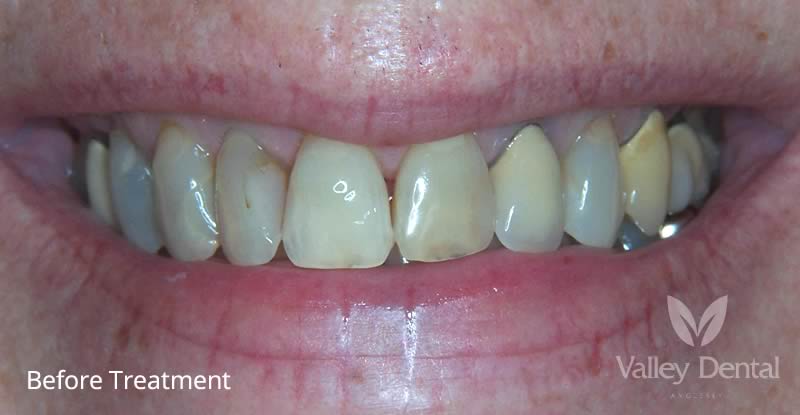
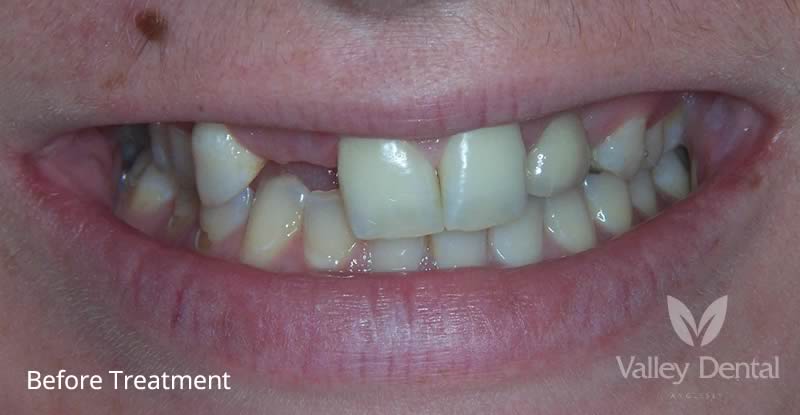
Some Of Our Smile Makeover Cases
Case 1
Case 2
Case 3
Case 4
Case 5
Case 6
Case 7
Cosmetic | Reconstructive | Implant Dentistry